به یاد فرزندان جاویدان این سرزمین

یادشان همواره در قلب این خاک زنده خواهد ماند

اصلاح رنگ و شکل دندان
مقاله تخصصی

اصلاح رنگ و شکل دندان

2 ماه پیش
410 بازدید
دکتر امیر نباغ

دکتر امیر نباغ

تهران

جراح - دندانپزشک

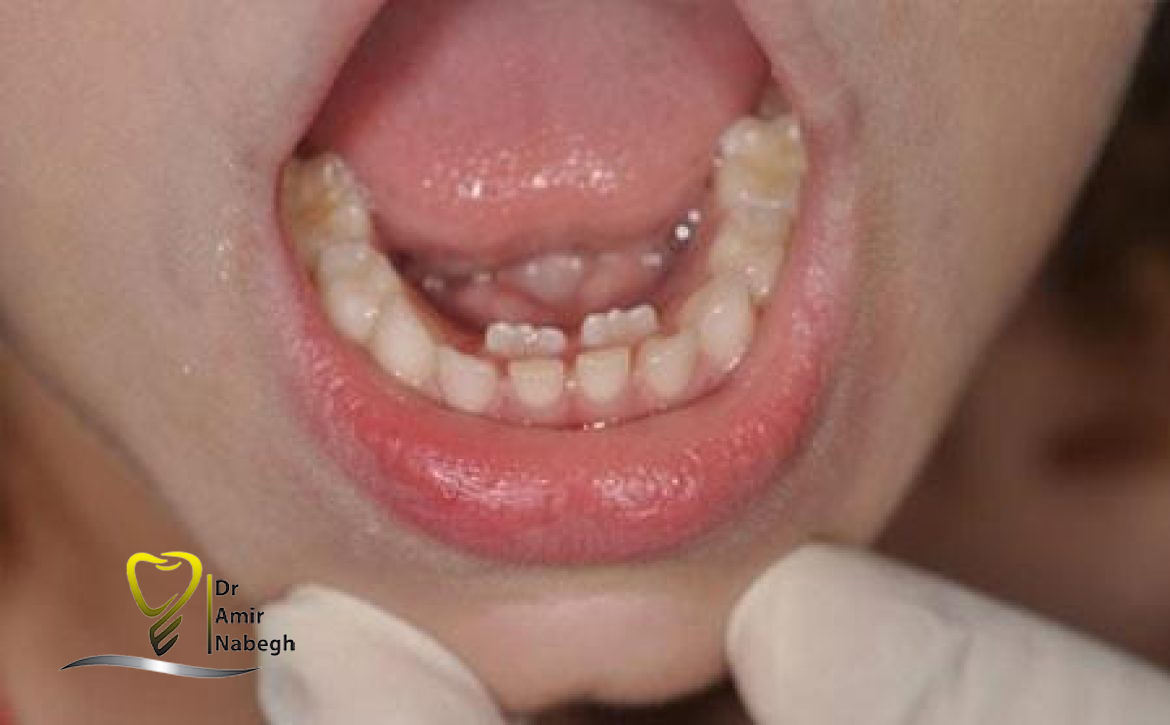
اصل و شکل دندان به چند عامل خاص دارد، از رنگ دندان گرفته تا کوتاهی و بلندی و حتی نحوه قرارگیری دندان روی هم یک دندان شکیل را می دهد. در واقع وقتی همه چیز در کنار هم قرار گرفتن میگیرند یک زیبایی فوق العاده را برای لبخندی زیبا به اجرا می گردانند.

استفاده از لمینت دندان و یا ونیر کامپوزیت

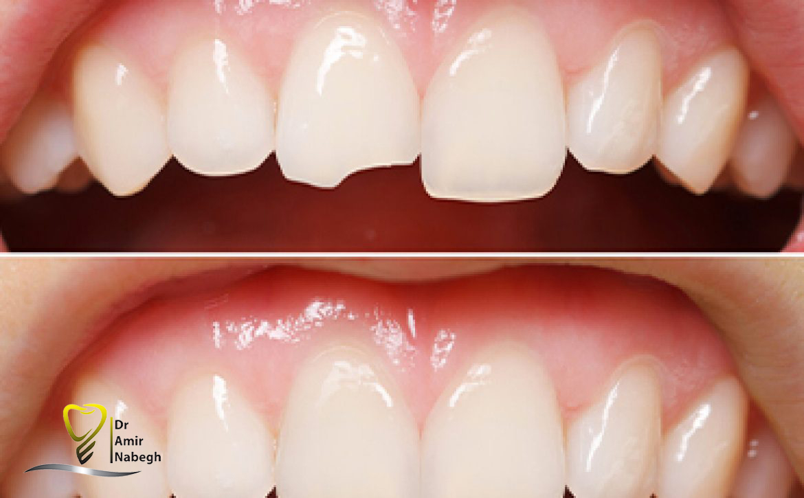
استفاده از روش ترمیمی برای اصلاح شکل دندان ها با استفاده از مواد ترمیم های همرنگ دندان یا کامپوزیت ونیر می توان به قسمت شکسته و یا سایش یافته مواد همرنگ را اضافه و شکل دندان را تغییر داد.

روش لمینت دندان و یا ونیر بهترین روش اصلاح شکل و فرم دندان می شوند.

یک مزایای استفاده از لمینت دندان و یا ونیر، محافظه کارانه بودن و حفظ نسج دندانی باقی مانده تا حد امکان است و بیشتر زیبایی فوق العاده آنهاست. این روشها جز درمانهای دائمی و بلند مدت می شوند .

روکش دندان برای اصلاح شکل و فرم دندان ها

در تصویری که دندانی و شکستگی خیلی بزرگ باشد، می بایست توسط روکش دندان اصلاح فرم و سایز دندان یا میزان کردن دندانها را انجام داد. روکش کردن چشمدارنده و ارزان قیمت برای اصلاح طرح لبخند و داشتن لبخندی زیباتر است. زیباسازی و افزایش دندان‌ها از درمان‌های دندانپزشکی زیبایی است که تغییرات ظریف و جزیی را در دندان‌ها ایجاد می‌کند. اما همین تغییرات جزیی تفاوت چشمگیری را به وجود می‌آورد.

اصلاح شکل و اندازه دندان‌ها یکی از راحت‌ترین روش‌ها برای اصلاح لب پر شدن، یک دست نبودن یا نامرتب بودن دندان‌ها است که لبخندی جذاب‌تر را روی لب‌ها می‌نشاند. زیباسازی دندان‌ها به دلیل اصلاح ناهمواری قابل توجه به دندان‌ها و یک دست و ردیف کردن دندان‌ها به نفس بالاتری را برای بیمار به ارمغان می‌آورد. میزان دندان‌ها با استفاده از لمینت‌های سرامیکی و کامپوزیتی در مقایسه با روش‌های ارتودنسی هزینه کمتری دارد و کوتاه‌تر است.

اصلاح فرم دندان

اصلاح فرم و سایز دندان یا میزان کردن دندان یکی از روش‌های دندانپزشکی زیبایی است که در آن مقداری از دندان مینای دندان، یعنی لایه خارجی پوشش دهنده دندان، تراش داده می‌شود تا شکل، بلندی یا سطح یک یا چند دندان اصلاح شود. هر چند چند میلی‌متر از دندان در محل مناسب تراش داده می‌شود تا دندان بسیار زیباتر شود. اصلاح فرم و اندازه دندان غالباً در کنار باندینگ انجام می‌شود. باندینگ یکی دیگر از روش‌های دندانپزشکی زیبایی است که در آن شکل دندان با استفاده از مواد کامپوزیتی همرنگ دندان اصلاح می‌شود.

مشکلات قابل اصلاح به روش میزان کردن دندان‌ها

نقص‌ها یا مشکلاتی مانند همپوشانی جزیی یا شکل غیرطبیعی دندان‌ها، لب پر شدن یا شکستگی جزیی یا نوک تیز بیش از حد دندان‌های نیش را غالباً می‌توان با تراش دادن دندان به منظور اصلاح شکل و میزان دندان‌ها تغییر کرد.

مزایا

اگرچه زیباسازی دندان روش نگهدارنده برای تغییر ظاهر دندانها است، با این حال بهتر است نقاط ضعف و قوت این روش را قبل از تصمیم گیری بررسی کنید تا از مناسب بودن آن مطمئن شوید. اصلاح شکل و فرم و میزان دندان‌ها به شرح زیر است:

هزینه کمتر

تراش زیبایی دندان روشی ارزان برای داشتن لبخندی جذاب‌تر است. هزینه این روش معمولاً برحسب هر دندان و با توجه به درمان گستردگی می‌شود. اگر نقص دندان آسیب دیدن یا سانحه باشد، بیمه بخشی از هزینه را پرداخت خواهد کرد.

بدون درد

چون فقط مینای سطحی دندان تراش زیبایی داده می‌شود، بیمار هیچ‌گونه ناراحتی و درد را در طول درمان حس نمی‌کند و نیازی به بی‌حسی نیست.

ارتقاع سلامت دندان‌ها

رفع همپوشانی‌های جزیی دندان‌ها ناقص هستند و می‌توانند محل انباشته شدن جرم و پلاک باشند، احتمال پوسیدگی دندان و ابتلا به بیماری لثه را کاهش می‌دهد.

جایگزین ارتودنسی

اصلاح فرم و میزان کردن دندان‌ها گاهی نمی‌تواند ارتودنسی باشد، زیرا به این روش ساده نیز می‌توان دندان‌ها را مرتب کرد و همپوشانی و بی‌نظمی آنها را رفع کرد.

متقاضی ایده آل درمان

اصلاح فرم و میزان دندان‌ها بهترین روش برای ساختن افرادی است که می‌خواهند فقط تغییرات جزئی در دندان‌ها ایجاد کنند یا دندان‌هایشان نیاز به ترمیمی مختصر دارند. این روش به توصیه‌های توصیه می‌شود که دندان‌شان اندکی کج و نامرتب یا بیش از حد نوک تیز است یا یک طرف دندان از سمت دیگر جلو آمده است. درمان تراش زیبایی دندان دندان‌های پوسیده، عصب کشی شده یا دارای لثه ناسالم نیست.

مراحل انجام درمان

اصلاح شکل دندان با استفاده از وسایل دندانپزشکی خاص و تکنیک های سایشی انجام می شود. دندانپزشک مینای دندان را با دقت با لیزر یا دریل تراش می‌دهد. قبل از شروع درمان از دندان‌ها عکس گرفته می‌شود تا محل و میزان پالپ بررسی شود و از سالم بودن اطمینان حاصل شود. سپس دندانپزشک دادن ناحیه‌های لازم به تراش و زیباسازی را با مداد علامت می‌زند. دندانپزشک در مرحله بعد از ناحیه بدشکل را تراش می‌دهد، دندان را کوتاه می‌کند با بقیه دندان‌ها همخوانی داشته باشد و مشکلات مربوط به نامرتبی دندان‌ها را اصلاح کند. دندانپزشک‌های سطحی دندان‌ها را با یک وسیله صیقل دادن مخصوص از بین می‌برد یا به حداقل می‌رساند و گاهی کناره‌های دندان را با نوارهای سنباده‌ای مانند میزان می‌کند. دندانپزشک در نهایت دندانها را صاف و پولیش می کند. اصلاح فرم و سایز دندان گاهی فقط به یک جلسه 30 دقیقه‌ای نیاز دارد، البته مدت زمان به گستردگی آن درمان دارد.

چنانچه اصلاح شکل دندان در کنار باندینگ انجام شود، دندانپزشک می‌تواند لب پر شود و فاصله بین دندان‌ها را اصلاح کنید، دندان را زیباتر و رنگ آن را بهتر کند. چون این کار باعث دندانی می شود، ممکن است دندانپزشکی را بیابد. دندانپزشک هر ماده مخصوص آماده سازی به دندان میزند تا پیوند بین رزین و دندان محکم تر شود. دندانپزشک رزین را شکل می‌دهد و در نهایت با تابش نور آن را خشک می‌کند و می‌کند. اگر زیباسازی بیش از یک دندان مد نظر باشد، چند جلسه به بیمار وقت داده می شود.

محدودیت‌ها

محدودیت‌های اصلاح شکل و میزان دندان‌ها به شرح زیر است:

جزیی بودن تغییر

اصلاح شکل و میزان دندان‌ها برداشت از روش‌های دندانپزشکی زیبایی تغییر چشمگیری را در لبخند ایجاد نمی‌کند و دندان‌ها را سفیدتر نمی‌کند. بنابراین اگر خواستار تغییری کلی و اصلاح می شود به طرح لبخند می پردازید، بهتر است وانیر را امتحان کنید. زیبایی تراش فقط دندان‌های کوچک را رفع می‌کند، حال آن که ونیر کل سطح جلویی را پوشش می‌دهد و دندان را کاملاً از این رو به آن رو می‌کند.

افزایش احتمال پوسیدگی دندان

با توجه به مقدار مینایی که هنگام اصلاح فرم دندان تراشیده شده است، ممکن است دندان از مدتی حساس شود.

مراقبت پس از درمان

پس از اصلاح فرم و باندینگ دندان باید از آن به خوبی مراقبت کرد تا نتیجه به دست آمده حفظ شود. دندان باندینگ بیش از تمام ترمیم‌های دندانی در خطر لب پر شدن یا شکستگی و لک یا زرد شدن است. جویدن ناخن، خوردن سر مداد، خوردن غذاهای سفت و باز کردن درب بطری با دندان برای داروهایی که این درمان را انجام داد، ممنوع است. با رعایت این احتیاط‌ها می‌توانم خطر لب پر شدن دندان را کاهش دهم. دندان‌ها را باید دو بار در روز مسواک زد تا دندان سفید و بدون لک باقی بماند. سیگار، قهوه و چای نیز موادی هستند که رزین را می‌توان می‌سازد، بنابراین باید مصرف این نوشیدنی‌ها را کاهش داد و مصرف آن را ترک کرد.

دندان استفاده کرد البته با معرفی روکش های تمام سرامیک می توان از زیبایی و شفافیت بالای این روکش مطمئن بود.

منظم کردن دندان ها با ارتودنسی

ارتودنسی یک روش رایج در اصلاح شکل و فرم دندان ها می شود که انصافا هم شما را تضمین می کند.

این درمان بیشتر برای افراد مناسب است که دندان های کج و حتی دچار مشکلات فکی هستند

به طور مثال برای رفع مشکل فاصله بین دندان ها از ارتودنسی استفاده می شود که می تواند دندان ها را خوش فرم کند.

جراحی لثه برای افزایش طول دندانها

برای استفاده از کامپوزیت دندان نیست و می توان با جراحی لثه، سریع تر این کار را در یک جلسه انجام داد. می شوند، اگر این طور است شما مشکل لبخند لثه ای (لبخند لثه ای) دارید.

اصلاح شکل و فرم دندان ها به چند عامل بستگی دارد، از رنگ دندان گرفته تا کوتاهی و بلندی و حتی نحوه قرار گرفتن دندان روی هم یک دندان شکیل را می دهد. در واقع وقتی همه چیز در کنار هم قرار گرفتن میگیرند یک زیبایی فوق العاده را برای لبخندی زیبا به اجرا می گردانند.

اشتراک‌گذاری:

مقالات مرتبط

مقالات دیگر از دکتر امیر نباغ

21 مقاله
نایت گارد یا محافظ دهان چیست؟
مطالعه بیشتر

نایت گارد یا محافظ دهان چیست؟

نیت گارد یا محافظ دهان چیست؟ نیت گارد پوششی است که مردم برای محافظت از آن استفاده می‌کنند تعویض به موقع مخصوصاً برای کو...

1 ماه پیش بخوانید
ترمیم های زیبایی دندان
مطالعه بیشتر

ترمیم های زیبایی دندان

ترمیم های زیبایی دندان: درمان‌های زیبایی روز به روز در سرتاسر جهان محبوب‌تر می‌شوند. با پیشرفت تکنولوژی، این درمان ها آ...

1 ماه پیش بخوانید
جراحی دندان مخفی
مطالعه بیشتر

جراحی دندان مخفی

جراحی دندان پنهان دندان های تعبیه شده دندان هایی هستند که به دلایل مختلف رشدشان متوقف شده است. این دلایل می تواند تغییر...

1 ماه پیش بخوانید
بهداشت دهان و دندان برای ایمپلنت
مطالعه بیشتر

بهداشت دهان و دندان برای ایمپلنت

بهداشت دهان و دندان برای ایمپلنت حفظ بهداشت دهان و دندان نقش بسیار مهمی در سلامت بدن دارد مراحل کاشت ایمپلنت دندان شامل...

1 ماه پیش بخوانید
روکش سرامیکی
مطالعه بیشتر

روکش سرامیکی

ورقه ورقه سرامیکی (روکش سرامیکی): هر چیزی که باید بدانید افرادی که لبخند سالمی دارند، روکش سرامیکی یک روکش بسیار نازک...

1 ماه پیش بخوانید
درمان ریشه
مطالعه بیشتر

درمان ریشه

درمان ریشه (برداشتن عصب) اگر به شما گفته شود که

1 ماه پیش بخوانید
فلوراید تراپی
مطالعه بیشتر

فلوراید تراپی

فلوراید چیست؟ فلوراید یک ماده معدنی است که به طور طبیعی در منبع آبی وجود دارد. اگرچه این ماده به مقدار کمی در منابع طبی...

1 ماه پیش بخوانید
ایمپلنت دیجیتال
مطالعه بیشتر

ایمپلنت دیجیتال

ایمپلنت دیجیتال همانطور که می دانیم، ایمپلنت بهترین راه برای جایگزینی دندان از دست رفته است.

1 ماه پیش بخوانید
بلیچینگ دندان
مطالعه بیشتر

بلیچینگ دندان

بلیچینگ دندان چیست؟ مزایا و معایب بلیچینگ دندان سفید کننده سفید کردن دندان یکی از تخصصی ترین روش های سفید کردن دندان ا...

1 ماه پیش بخوانید
همه چیز در مورد روکش دندان
مطالعه بیشتر

همه چیز در مورد روکش دندان

همه چیز مربوط به تاج دندان روکش دندان یکی از رایج ترین روش های بازسازی دندان است. روکش در واقع کلاهکی شبیه تاج دندان اس...

1 ماه پیش بخوانید
رابطه مشکلات و بیماری های دهان و دندان
مطالعه بیشتر

رابطه مشکلات و بیماری های دهان و دندان

رابطه بین مشکلات و بیماری های دهان و دندان برخی تحقیقات نشان می دهد که افراد مبتلا به بیماری لثه بیشتر از افراد دارای لث...

1 ماه پیش بخوانید
راه های مراقبت از مینای دندان
مطالعه بیشتر

راه های مراقبت از مینای دندان

مینای دندان چیست؟ (مینای دندان) سخت ترین پوشش بدن انسان، پوششی است که قسمت خارجی دندان را می پوشاند. این قسمت از قسمت خا...

1 ماه پیش بخوانید
دندان بلیچینگ
مطالعه بیشتر

دندان بلیچینگ

بلیچینگ دندان چیست؟ مزایا و معایب بلیچ دندان بلیچینگ دندان، یکی از تخصصی‌ترین روش‌های سفید کردن دندان می‌باشد. بسیاری...

2 ماه پیش بخوانید
ونیر سرامیکی
مطالعه بیشتر

ونیر سرامیکی

لمینت سرامیکی(ونیر سرامیکی): هرآنچه باید بدانید افرادی که از نعمت داشتن لبخندی سالم هستند،

2 ماه پیش بخوانید
درمان ریشه (عصب کشی)
مطالعه بیشتر

درمان ریشه (عصب کشی)

درمان ریشه (عصب کشی) اگر به شما بگویند که به درمان ریشه (عصب کشی) دندان نیاز دارید، ممکن است کمی دچار استرس شوید. جای نگ...

2 ماه پیش بخوانید
فلوراید تراپی
مطالعه بیشتر

فلوراید تراپی

فلوراید چیست؟ فلوراید یک ماده معدنی است که به طور طبیعی در منابع آبیوجود دارد. با توجه به اینکه این ماده در مقدار کمی در...

2 ماه پیش بخوانید
جراحی دندان نهفته
مطالعه بیشتر

جراحی دندان نهفته

جراحی دندان نهفته دندانهای نهفته دندانهایی هستند که رویش آنها به راه افتاده است. این نمی تواند مسیر رویشی، وجود و یا وض...

2 ماه پیش بخوانید