عوامل بر مقدار تراشمیزان تراش برای انواع
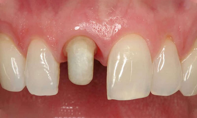
تراشیدن دندان یکی از مراحل اصلی در نصب روکش است که به ایجاد فضای کافی و قرارگیری بهتر و طبیعیتر روکش کمک میکند. میزان تراش دندان معمولاً بین ۰.۵ تا ۲ میلیمتر متغیر است و مقدار دقیق آن به نوع روکش، وضعیت دندان و مهارت دندانپزشک بستگی دارد:
-
اندازه متن
+
تراش دندان یکی از مراحل اصلی آماده سازی دندان برای نصب روکش دندان است. هدف از این فرآیند، ایجاد فضای کافی برای جایگذاری روکش، حفظ تماس مناسب با دندان های مجاور و جلوگیری از برجستگی یا اشکال در شکل طبیعی دندان است. نکته ای که باید به آن توجه شود این است که تراش دندان باید به اندازه کافی باشد تا ضخامت مناسب روکش را تحمل کند، اما نباید بیش از حد باشد تا به پالپ (عصب دندان) آسیب نرساند. در ادامه به همه نکات میزان تراش دندان برای روکش خواهیم پرداخت.
خلاصه موضوع توضیح کوتاه میزان تراش دندان معمولاً بین ۰.۵ تا ۲ میلیمتر بسته به نوع روکش روکش فلزی کمترین تراش (۰.۵ – ۱ میلیمتر) روکش فلز-سرامیک (PFM) نیاز به تراش بیشتر (۱.۵ – ۲ میلیمتر) روکش تمام سرامیک تراش نسبتاً زیاد (۱.۵ – ۲ میلیمتر)؛ زیبایی بالا روکش زیرکونیا تراش متوسط (۱ – ۱.۵ میلیمتر)؛ مقاومت و زیبایی توأم نکات مهم تراش دقت بالا، جلوگیری از آسیب عصب، پیشگیری از پوسیدگی درد و حساسیت معمولاً با بیحسی کنترل میشود؛ حساسیت موقتی است
در این فرآیند، دندانپزشک تلاش میکند تا مینای دندان را تا حد امکان حفظ کند و به عاج دندان آسیبی نرسد. برای کاهش ناراحتی معمولاً از بیحسی موضعی استفاده میشود، اما در کل درد این مرحله قابلتحمل است. بعد از تراش، حساسیت دندانها به گرما یا سرما طبیعی بوده و طی چند روز برطرف میشود.
تراش دندان علاوه بر بهبود تطابق و ظاهر طبیعی روکش، از تجمع باکتری و پوسیدگی دندان جلوگیری میکند. با این حال، تراش بیشازحد ممکن است مشکلاتی مانند حساسیت شدید، التهاب لثه یا حتی نیاز به عصبکشی را به همراه داشته باشد.
چند عامل مهم بر میزان و نحوه تراش دندان تاثیر دارند:
بیشتر بخوانید: چه زمانی روکش دندان خوب و چه زمانی بد است
میزان تراش دندان برای آماده سازی دندان انجام می شود تا روکش به خوبی نصب شود. تراش دندان باید به اندازه ای انجام شود که فضای کافی برای روکش فراهم شود، در عین حال بیش از حد نباشد تا به ساختار طبیعی دندان و پالپ آسیب وارد نشود. در ادامه میزان تراش دندان برای انواع روکش دندان را شرح می کنیم:
روکش فلزی به تراش ۰.۵ _ ۱ میلی متر نیاز دارد، زیرا فلز مقاومت بالایی در برابر فشار جویدن دارد و با ضخامت کم، عملکردی مناسب دارد. تراش کمتر باعث حفظ بیشتر ساختار طبیعی دندان می شود و خطر آسیب به پالپ دندان کاهش می یابد. به همین دلیل این نوع روکش برای دندان های عقبی که فشار جویدن بالاست، مناسب است.
میزان تراش موردنیاز برای این روکش حدود ۱.۵ -۲ میلی متر است تا فضای کافی برای پوشش سرامیک روی فلز ایجاد شود. این تراش باعث می شود روکش علاوه بر استحکام، ظاهری طبیعی و همرنگ دندان های دیگر داشته باشد. همچنین تراش مناسب کمک می کند که تماس با دندان های مجاور حفظ شود و از برجستگی یا نقص در روکش جلوگیری شود.
برای روکش های تمام سرامیک، تراش دندان بین ۱.۵ تا ۲ میلی متر انجام می شود تا سرامیک مقاومت کافی در برابر فشار جویدن داشته باشد. تراش عمیق تر به ایجاد فضای کافی برای ضخامت سرامیک کمک می کند و در نتیجه روکش هم مستحکم و هم طبیعی به نظر می رسد. این روکش به دلیل زیبایی، بیشتر برای دندان های جلویی کاربرد دارد.
روکش زیرکونیا به ضخامت ۱-۱.۵ میلی متر نیاز دارد. این ماده مقاومت بسیار بالایی دارد. بنابراین می توان با تراش کمتر نسبت به سرامیک معمولی، روکش زیبا و مستحکم ایجاد کرد. تراش مناسب باعث می شود دندان کمتر آسیب ببیند و عمر طولانی روکش تضمین شود. همچنین نصب دقیق روکش زیرکونیا از پوسیدگی و تجمع باکتری در اطراف دندان جلوگیری می کند.
هدف از تراش، ایجاد فضای مناسب برای نصب دقیق روکش است. علت تراش دندان برای روکش؛ عبارت اند از:
نکته: میزان تراش برای روکش معمولا بین ۰.۵ تا ۲ میلی متر است که بسته به نوع روکش (فلزی، PFM، سرامیکی، زیرکونیا) متفاوت خواهد بود.
برای اطلاع از بهترین دکتر روکش دندان در تهران کلیک کنید
تراش دندان برای روکش معمولا بدون درد است، زیرا قبل از شروع کار از بی حسی موضعی استفاده می شود. پس از اتمام بی حسی، دندان ممکن است کمی حساس به سرما، گرما یا فشار جویدن شود که این حساسیت معمولا موقت و طی چند روز کاهش می یابد و رعایت بهداشت دهان و اجتناب از غذاهای سفت به کاهش آن کمک می کند.
تراش دندان معمولا به شکل مخروطی انجام می شود تا روکش یه خوبی روی دندان جایگذاری شود و تماس با دندان های مجاور حفظ گردد. در ادامه میزان تراش دندان را با توجه به نکات مهم را بررسی کردیم:
نوع روکش ضخامت تراش لازم توضیحات روکش فلزی ۰.۵ -۱ میلی متر به دلیل مقاومت بالای فلز، تراش کم کافی است و ساختار دندان حفظ می شود. روکش فلز-سرامیک ۱.۵ تا ۲ میلی متر فضای کافی برای سرامیک روی فلز ایجاد می کند و زیبایی و استحکام روکش را تضمین می کند. روکش تمام سرامیک ۱.۵ تا ۲ میلی متر برای مقاومت کافی سرامیک و ظاهر طبیعی دندان، تراش عمیق تر لازم است. روکش زیرکونیا ۱ تا ۱. ۵ میلی متر مقاومت بالای زیرکونیا باعث می شود با تراش کمتر، روکش مستحکم و زیبا انجام شود.نتیجه گیری
تراش دندان برای روکش مرحله ای حیاتی است که با دقت صحیح، دوام و زیبایی روکش را تضمین می کند. میزان تراش بسته به نوع روکش، موقعیت دندان و وضعیت دندان متفاوت است و رعایت اصول آن از اهمیت بالایی برخوردار است.
در کلینیک دندانپزشکی آمیتیس این کار با دقت بالا و ماندگاری طولانی انجام می شود؛ برای مشاوره و تعیین وقت، همین حالا با ما تماس بگیرید و لبخندی سالم و زیبا داشته باشید.
میزان تراش بسته به نوع روکش متفاوت است؛ فلزی ۰.۵ تا ۱ میلی متر، PFM و تمام سرامیک ۱.۵ تا ۲ میلی متر، زیرکونیا ۱ تا ۱.۵ میلی متر.
سرامیک مقاومت کمتری نسبت به فلز دارد و برای دوام و زیبایی کافی، نیاز به ضخامت بیشتری دارد.
بله؛ تراش بیش از حد ممکن است به عصب دندان آسیب برساند، به همین دلیل تراش دقیق و اندازه گیری شده توسط دندانپزشک اهمیت بسیاری دارد.
تراش معمولا به شکل مخروطی انجام می شود تا روکش به خوبی روی دندان فیت شود و تماس مناسب با دندان های مجاور حفظ گردد.
بیشتر بخوانید: هزینه روکش دندان ۱۴۰۴
بله؛ تراش مناسب باعث می شود روکش مستحکم باشد و ظاهری طبیعی و هماهنگ با دندان های مجاور داشته باشد.
بله؛ دندان های جلویی بیشتر برای زیبایی و دندان های عقبی برای تحمل فشار جویدن اهمیت دارند؛ بنابراین میزان تراش متناسب با موقعیت دندان انتخاب می شود.
تراش برای روکش معمولا عمیق تر است (۰.۵ تا ۲ میلی متر) تا استحکام و دوام روکش حفظ شود، در حالی که تراش لمینت بسیار کم است و اغلب بین ۰.۳ تا ۰.۷ میلی متر انجام می شود.
تایید شده توسط :
کلینیک دندانپزشکی آمیتیس با مدیریت دکتر محمد پارسا و بیش از 15 سال فعالیت تخصصی در زمینه درمانهای زیبایی، ترمیمی و ایمپلنت، یکی از کلینیک های دندانپزشکی معتبر با تجهیزات مدرن و تیم مجرب در تهران است. این مرکز تاکنون بیش از ۱۰ هزار خدمت موفق به بیماران ارائه کرده، همچنین دندانپزشکی آمیتیس علاوه بر درمان بیماران داخلی به درمان بیماران بین المللی و خارج از کشور نیز پرداخته است.
پست قبلی
پست بعدی
نظر شما در مورد این مطلب چیه؟
هزینه انواع پر کردن دندانهزینه پر کردن دندان با عصب کشی
ایمپلنت تک مرحله ایایمپلنت دو مرحله ای
ایمپلنت با اتصالیمزایا / معایب ایمپلنت پیچیروکش ایمپلنت با اتصال چسبیمزایا / معایب اتصال چسبی
شایع ترین علتتش href="#heading_%d8%b1%d8%a7%d9%87-%d8%ad%d9%84-%d9%87%d8%a7%db%8c%db%8c-%d8%a8%d8%b1%d8%a7%db%8c-%da%a9%d8% a7%d9%87%d8%b4-%d8%af%d8%b1%d8%af-%d8%af%d9%86%d8%af%d8%...
میزان موفقیت ایمپلنتعوامل موثردر چه افرادی موفق تر است؟علائم موفق نبودن ایمپلنت ایمپلنت دندان یکی از موفقترین روشهای جایگزینی دندان از دست رفته است با نرخ موفقیت ۹۵ تا ۹۸ درصد، که به سلامت دهان و...
جدول مراکز ایمپلنت در شرق تهرانبهترین دکتر و مرکز ایمپلنت در شرقبهترین مرکز ایمپلنت در شرق از دست دادن دندان، فقط یک مشکل ظاهری نیست؛ بسیاری از افراد بعد از آن در جویدن، صحبت کردن یا حتی لبخند زدن...
چیست؟مزایا / معایبمراحل کاشتقیمتطول عمرمقایسه با سایر برندهامراقبت های بعد ایمپلنت بایوتم (Biotem) از برندهای معتبر ایمپلنت کره ای است که به دلیل کیفیت ساخت بالا، دوام طولانی و قیمت متعادل، محبوب ب...
ایمپلنت دنتیوم چیستمزایا / عوارضانواع فیکسچر دنتیوممراحل کاشتقیمتمقایسه با سایر ایمپلنت هاماندگاری ایمپلنت دنتیوم (Dentium) یک برند معتبر کره ای برای کاشت دندان است که از سال 2000 تولید و از 1384 و...
حساسیت دندان بعد از کامپوزیت ها و درمان های دندانپزشکی یکی از مشکلات رایجی است که ممکن است بسیاری از بیماران با آن مواجه شوند. یکی از روش های رایج ترمیم دندان های آسیب دیده یا تغییر رنگ، استفاده از مو...
در دنیای امروز زیبایی و سلامت دندان ها بیش از گذشته مورد توجه قرار گرفته است. یکی از رایج ترین روش ها برای بهبود ظاهر دندان و اصلاح مشکلات جزئی، لمینت دندان است. لمینت های دندانی که اغلب از مواد سرامی...
ماندگاری کامپوزیت دندان به عوامل مختلفی از جمله کیفیت مواد مصرفی، تکنیکهای نصب و مراقبتهای بعدی بستگی دارد. برای ترمیمهای دندانی که در نواحی بدون فشار مانند دندانهای جلویی قرار میگیرند، دوام کامپ...
خدمات سئو (SEO) بهینهسازی موتورهای جستجو به شما کمک میکند تا وبسایتتان در نتایج جستجوی گوگل و دیگر موتورهای جستجو رتبه بالاتری کسب کند.
دیجیتال برندینگ به معنای ایجاد یک برند قوی و متمایز در فضای دیجیتال برای شرکت یا محصولی خاص است. این فرآیند شامل استفاده از روشها و استراتژیهای دیجیتال برای ساخت و تقویت برند میشود.
طراحی سایت برای شرکتها و بیزینسها میتواند به شما کمک کند تا حضور آنلاین قویتری داشته باشید و مشتریان بیشتری جذب کنید. برای اطلاعات بیشتر با ما تماس بگیرید .