نورینوم آکوستیک که با عنوان شوآنوم وستیبولار نیز رشد می کند، تومور غیر سرطانی است که معمولاً روند آهسته ای دارد و در قسمت اصلی عصب شنوایی (اعصابی که از گوش میانی به مغز می رسد) می شود.
شاخه های این صبای مستقیم بر روی رابطه و شنوایی تاثیر می گذارد و فشار وارد می شود از این اختلال می تواند باعث کاهش شنوایی شود، برهم خوردن و احساس صدا در گوش شود.
نورینوم آکوستیک، معمولاً از سلول های شوآن که عصب شنوایی را پوشش می دهد، شروع می شود و روند پیشرفت آهسته ای دارد. به ندرت دیده می شود که این تومور به حدی بزرگ شود که به مغز فشار بیاورد و باعث بروز مشکل شود.
درمان نورینوم آکوستیک شامل بررسی و چکاپ های منظم، رادیوتراپی و جراحی می باشد.
درباره بیماری نورینوم آکوستیک چه اطلاعاتی دارید؟
وقتی برای بیماری تومور شنوائی تشخیص داده می شود، سئوالاتی درباره خود تومور و نحوه درمان آن مطرح می شود. تومور به خودی خود بسیار نادر است. تنها 2 تا 3 هزار مورد جدید در هر سال تشخیص داده می شود. این تعداد تقریباً یک در هر صد هزار نفر در سال است. آکوستیک نورما (AN) در 95 % موارد یک طرف و حدود 5 % دو طرف است. نوع دوطرفه آن بسیار نادر رخ می دهد که مرتبط با یک سندرم ارثی به نام نوروفیبرو ماتوزیس نوع دوم (NF2) می باشد. تومور آکوستیک تومور مغزی نیست. این تومور در واقع یک تومور عصب نسبت است و نام علمی تر آن شوانوم وستیبلار می باشد.
تومور در فضای بین مغز و گوش که زاویه پلی مخچه نامیده می شود، ایجاد می شود. آکوستیک نورما جزء تومورهای خوش خیم است اما خطر این تومور به دلیل رشد آن در فضای حساس و فشار آوردن آن به ساختارهای حیاتی مانند اعصاب جمجمه، مغز و ساقه مغز است. شایع ترین نشانه تومور شامل کاهش شنوائی در گوش مبتلا، وزوز گوش و عدم تعادل می باشد. برای به دست آوردن بهترین نتیجه، تشخیص صحیح به منظور انتخاب بهترین روش درمان در این مشکل است. برای تشخیص نورینوم آکوستیک ام آر آی توصیه می شود. این روش تصویر برداری نه تنها به تشخیص کمک می کند بلکه می کند وسعت و عوارض احتمالی مانند هیدروسفالی را مشخص می کند.
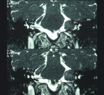
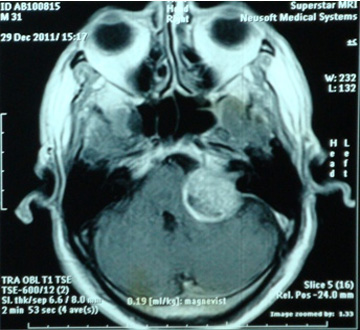
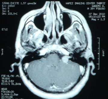
نمونه های زیر MRI پزشک متخصصی است که توسط اصغری جراحی شده اند:
ممکن است علائم و نشانه های نورینوم آکوستیک تا چند سال ادامه پیدا کند. فشار این تومور بر روی اعصاب کنترل کننده دستگاه و احساس صورت، رگ های خونی مجاور و ساختار مغز می تواند به بروز مشکلاتی منجر شود.
با رشد تومور، مشاهده علائم قابل توجه و شدیدی بود.
شایع ترین علائم عبارتند از:
در صورت تغییر در میزان شنوایی، زنگ زدن گوش و یا برای هم مصرف حتما باید به پزشک مراجعه کند.
تشخیص اولیه و به موقع نورینوم آکوستیک از بزرگ شدن تومور و بروز مشکلات بعدی از دست دادن شنوایی و یا تجمع بدن در جمجمه ای که بسیار خطرناک است هوا می کند.
علت بروز نورینوم آکوستیک می تواند در عملکرد ژن در کروموزوم 21 باشد. در حالت طبیعی، این ژن با تولید کننده قادر کننده تومور، رشد سلول های شوآن پوشش دهنده اعصاب را کنترل می کند. علت اصلی تغییر عملکرد این ژن به طور قطعی مشخص نیست.
نوروفیبروماتوز 21، اصلی ترین خطر فاکتور پزشک در بروز نورینوم آکوستیک می باشد. مشخصه اصلی این بیماری، رشد تومورهای غیر سرطانی بر روی اعصاب مسئول یا حفظ در دو سمت سر و اعصاب می باشد.
نوروفیبروماتوز 21، اختلال کروموزومی است که می تواند از یکی از والدین به ارث برسد.
معاینه از جمله معاینه گوش، راه تشخیص نورینوم آکوستیک می باشد. این اختلال در مراحل اولیه به تشخیص سختی داده می شود چرا که علائمی به مرور زمان ظاهر می شوند.
پزشک هم چنین به بررسی موارد زیر نیز خواهد پرداخت:
از جمله تست های تشخیصی می توان به موارد زیر اشاره کرد:
درمان نورینوم آکوستیک با توجه به اندازه و رشد تومور، شرایط جسمانی بیمار و علائم و نشانه های موجود در نظر گرفته می شود. در درمان این مشکل، سه روش چکاپ منظم، رادیوتراپی و جراحی از سوی پزشک می شود، که به بررسی هر یک پرداخت می شود.
در صورتی که اندازه تومور کوچک باشد و یا روند رشد و پیشرفت آهسته ای داشته باشد، معمولاً شاهد بروز علائمی نخواهیم بود و پزشک می تواند بیمار را تحت نظر داشته باشد، به ویژه افراد بزرگسالی که از نظر جسمانی آماده دریافت سایر روش های درمانی است.
توصیه می شود بیمار هر شش تا دوازده ماه یک بار جهت چکاپ و تست های شنوایی به پزشک مراجعه کند، تا روند رشد تومور مشخص شود. در صورتی که تومور سریع داشته باشد و یا رشد کند به بروز علائم تهاجمی شده باشد، روش های درمانی در نظر گرفته خواهد شد.
درباره بیماری نورینوم آکوستیک چه اطلاعاتی دارید؟
ممکن است دردرمان نورینوم آکوستیک نیاز به جراحی داشته باشید. پزشک با توجه به اندازه تومور، وضعیت شنوایی و سایر فاکتورها، بهترین گزینه جراحی را در نظر خواهد گرفت.
هدف از جراحی،
می باشد.
جراحی تحت بیهوشی عمومی انجام می شود و شامل برداشت تومور از طریق گوش میانی و یا جمجمه می باشد.
نکته ای که باید به آن اشاره کنیم این است که در برخی موارد امکان برداشت کامل تومور وجود ندارد. به عنوان مثال، زمانی که تومور در نزدیکی بخش های مهم مغز و یا اعصاب صورت قرار گرفته باشد.
گاهی ممکن است برداشت تومور به روش جراحی باعث تشدید علائم شود، زمانی که شنوایی و یا اعصاب صورت هنگام جراحی آسیب ببیند.
پرتوجراحی، از جمله روش های رادیوتراپی است و زمانی توصیه می شود که باید تومور کوچک باشد و یا این که بیمار بنا به سلامتی، قادر به تحمل جراحی نباشد. در این روش، پرتو گاما در یک دوز به ناحیه مورد نظر تابیده می شود، بی آن که آسیبی به بافت های اطراف وارد شود.
هدف از انجام این روش، توقف رشد تومور، محافظت از عملکرد اعصاب صورت و حفظ شنوایی می باشد.
در کنار درمانهایی در جهت توقف رشد تومور، یک سری از پزشکان در نظر گرفته میشوند که علائم و عوارض این بیماری از جمله موارد و یا مشکلات مربوط به این بیماری در مورد هدف قرار میگیرد.
کاشت حلزون و یا سایر روش های درمانی در درمان کاهش شنوایی از سوی پزشک توصیه می شود.
افراد مبتلا به نورینوم آکوستیک باید در مورد این بیماری اطلاعات کسب کنند و در روش های خاص درمان، با پزشک خود باید داشته باشند.
راه های ارتباطی با دکتر علی محمد اصغری:
شماره های تماس: 22374050 – 22375902
صفحه اینستاگرام: dr_alimohamad_asghari
برای کسب اطلاعات بیشتر به
مقالات دیگر از دکتر علی محمد اصغری
خدمات سئو (SEO) بهینهسازی موتورهای جستجو به شما کمک میکند تا وبسایتتان در نتایج جستجوی گوگل و دیگر موتورهای جستجو رتبه بالاتری کسب کند.
دیجیتال برندینگ به معنای ایجاد یک برند قوی و متمایز در فضای دیجیتال برای شرکت یا محصولی خاص است. این فرآیند شامل استفاده از روشها و استراتژیهای دیجیتال برای ساخت و تقویت برند میشود.
طراحی سایت برای شرکتها و بیزینسها میتواند به شما کمک کند تا حضور آنلاین قویتری داشته باشید و مشتریان بیشتری جذب کنید. برای اطلاعات بیشتر با ما تماس بگیرید .