Does grinding teeth prevent implants? + Challenges and solutions

Does grinding teeth prevent implants? + Challenges and solutions

Dr. Mehsa Ensi
Dr. Mehsa Ensi
Tehran

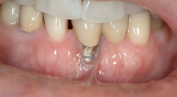
risksSymptoms Implant rejection

Dental implants are associated with challenges for people with bruxism; Because excessive pressure caused by wear or clenching of the teeth can cause the implant to break or loosen, crack tooth cover and bone loss. In general, the success of the implant can be increased by carefully examining the condition of the bone and gums, choosing more resistant implants, adjusting the bite correctly to fit the two jaws together, and using night guards and dental guards. Although bruxism increases the risk of implant failure, with proper management and care, patients can benefit from implants.

- Text size +

Dental implants are considered one of the most successful methods of replacing lost teeth in modern dentistry and are associated with a high percentage of success in most cases. However, there are certain conditions in patients that can affect the healing process, durability and performance of implants. One of these conditions is teeth grinding (Bruxism) or involuntary wear of teeth, which usually occurs during sleep or in stressful situations.

Bruxism can put extra pressure on the structure of the implant, the connecting screw, and the surrounding bone, and if left unchecked, it can increase the possibility of implant failure, loosening, or bone loss. Therefore, it is very important to investigate the relationship between teeth grinding and dental implants, especially from the point of view of treatment, prevention and choosing appropriate protocols. This article is written with the aim of examining the challenges, clinical solutions and key points in implant placement for patients with grinding teeth.

Bruxism can cause a range of symptoms like tooth erosion, jaw pain and TMJ disorders.

Bruxism can cause a series of symptoms; including teeth wear, jaw pain and temporomandibular joint disorders (TMJ).

Is it possible to implant an implant with grinding teeth?

If you suffer from bruxism, your natural teeth may pay a heavy price. Constant wear and excessive pressure can cause serious damage to the teeth, to the point where the teeth eventually fill, crack, or even fall out. But if this habit is not controlled, the same fate will await the implants that replace the missing teeth.

This common condition can affect up to one-third of adults during the day and more than one in ten during sleep.

This common condition can affect up to a third of adults during the day and more than one in ten during sleep. www.chesterfielddentistry.com

However, although grinding your teeth does not make you an ideal candidate for implants, it doesn't have to put you off getting implants completely. The most important conditions for implant placement are sufficient jaw bone density, healthy gum tissue and the absence of active infection in the mouth.

Although you may be able to get a dental implant, teeth grinding (bruxism) increases the chance of implant failure. For the treatment to be successful, the implant must fuse to the jawbone in a process called osseointegration. But if a lot of force is applied to the implant due to high pressure caused by teeth grinding or jaw clenching, this process will not be done correctly. As a result, the implant may be displaced and eventually lost.

Also, the constant wear and tear of the teeth can wear down the implant in exactly the same way as natural teeth. Although the implant does not suffer from decay or infection like a natural tooth, it may break or loosen against high pressures.

Among the possible complications of implants in people with grinding teeth, the following can be mentioned:

  • Implant fracture
  • crack or fracture of the ceramic or porcelain cover part
  • Fracture of the implant screw
  • Implant screw loosening
  • Premature and abnormal implant erosion

Read more: causes of implant rejection and its symptoms

In some cases, it can be repaired without the need to completely remove the implant; But in more severe conditions, it may be necessary to replace the implant and even perform a bone graft to maintain and stabilize its position.

Methods to treat grinding teeth

If your grinding is mild or you only clench your teeth occasionally, you probably don't need formal treatment. But in more severe cases, doctors may suggest the following methods to treat grinding teeth:

  • Mouth guard (Nightguard): Your dentist can make you a custom mouth guard to protect your teeth. The device may also better position the jaw to reduce pressure on the temporomandibular joint (TMJ) muscles. This guard is usually used when teeth grinding is most likely (for example, while sleeping).
  • Stress Reduction Techniques: Finding ways to manage stress can help reduce the symptoms of teeth grinding. These solutions include a wide range of treatments such as meditation, exercise and cognitive behavioral therapy (CBT).
  • Lifestyle changes: If your teeth grinding is due to the consumption of caffeine or alcohol, reducing the daily consumption of these substances can help. Also, quitting smoking may help stop teeth grinding and improve sleep quality.
  • Medications: Taking muscle relaxants before bed can prevent or reduce teeth grinding. Doctors usually recommend this method on a temporary basis.
  • Botulinum toxin (Botox) injection: In severe cases, the doctor may recommend Botox injection to treat teeth grinding. These injections temporarily relax the jaw muscles and reduce pain. To maintain the therapeutic effect, it is usually necessary to repeat the injection every three to four months.

How to place implants in people with bruxism

1. Accurate initial assessment:

In the first step, it is necessary to fully evaluate the condition of the patient's mouth and teeth. This examination includes a clinical examination, three-dimensional radiography (CBCT) to measure the density and volume of the jaw bone, and check the condition of the gums. In patients with bruxism, the severity of teeth grinding should be determined. If needed, special night guards or recording of sleep patterns are used to check teeth grinding more closely.

2. Choosing the right type of implant and prosthetic components:

In people with bruxism, the type of implant and the components connected to it should be selected in such a way that they can withstand strong pressure. Implants with a larger diameter and length help distribute the pressure better. Also, using stronger abutments and veneers that are more resistant to wear and impact—such as metal-ceramic or composite veneers—can prevent the veneer from breaking or cracking.

3. Implant installation with a conservative approach:

In these patients, implant implantation is usually done in two stages. That is, first, the titanium base is placed inside the jaw bone and it takes a few months for the osseointegration process to complete. After that, the second step will consist of placing the final veneer. In these patients, immediate implant placement is usually avoided because successful fusion requires more stability.

Read more: short base implant for people with conditions Special and low jaw bone density

4. Fine adjustment of occlusion (tooth contact):

After the final crown is installed, it is very important to adjust the tooth contacts. The goal is that the implant is not subjected to unbalanced pressures. Therefore, strong and unnecessary contacts during jaw closing or lateral movements are eliminated. In this way, excessive force on the implant is avoided, especially during the night.

5. Using Nightguard:

After the treatment is completed, one of the most important measures to protect the implant in patients with bruxism is to use a night guard. This device, which is custom-made by a dentist, prevents direct contact and pressure caused by teeth grinding. Nightguard protects not only the damage to the implant, but also the erosion of the remaining natural teeth.

Number of dental implants for people with bruxism

In patients with bruxism, it is usually recommended that a larger number of implants be used to replace the missing teeth so that the pressures from grinding are more evenly distributed between the implants. For example, if two implants are enough under normal conditions, three implants may be considered for the same area in a person with bruxism. This approach increases the stability of the prosthesis, reduces the risk of implant failure, and reduces the stresses applied to each implant unit. Also, in cases where several implants are used to make a complete prosthesis (for example, in the upper or lower jaw), the balanced distribution of forces becomes doubly important.

Success rate of implant with grinding teeth

Various studies have shown that bruxism can reduce the success rate of dental implants, although this reduction can be controlled if the necessary care is followed and the correct treatment plan is selected. In a five-year study, the survival rate of implants in bruxism patients was reported as follows: At the end of the first year, the implant survival rate is about 90 %, in the second year 87 %, in the third year 85 %, in the fourth year 75 % and at the end of the fifth year between 70 to 72 % has been..

Also, based on another study published in 2022, bruxism is known as an important risk factor for implant failure and occurrence of mechanical and prosthetic complications. In this study, the ratio of problems in patients with bruxism was reported to be between 2.45 to 3.6 times more than people without this disorder.

Dangers of implants for people with bruxism

Dental implants in patients with bruxism are associated with more challenges and risks, because excessive and frequent pressures caused by wear or clenching of teeth can damage the structure of the implant and its prosthetic components. One of the main concerns is preventing the successful completion of the implant fusion process with the jaw bone (Osseointegration); Because the microscopic movements caused by the constant squeezing of the teeth may prevent the complete stabilization of the implant.

Read more:

Among the common risks and complications in these patients, the following can be mentioned:

  • Implant fracture: Applying sudden or continuous pressure can lead to the complete failure of the implant base.
  • Failure of ceramic or porcelain cover: Aesthetic implant covers are vulnerable to high pressure and have the possibility of cracking or chipping.
  • Screw fracture or loosening (Screw fracture or loosening): Bruxism can cause the opening or even breaking of the screws holding the implant.
  • Premature implant wear: Continuous use and excessive pressure can cause wear or reduce the useful life of implant components.
  • Implant loosening or long-term instability: If the grinding is not properly managed, the possibility of implant loosening or instability increases in the long term.
  • The need for expensive restorative treatments: In some cases, to correct the damage, there is a need to replace the veneer, completely replace the implant, or even perform a bone graft.

Conditions for placing implants in people with bruxism

  • Having sufficient jaw bone density
  • Gum tissue health and the absence of active periodontal disease
  • Absence of active infection in the mouth area
  • Relative control of bruxism before treatment
  • The willingness and ability of the patient to regularly use the night guard
  • Observation of oral and dental hygiene at an acceptable level
  • Using the two-stage implant treatment plan (if needed)
  • Correct choice of implant type and resistant prosthetic components
  • Possibility of precise adjustment of occlusion after prosthesis
  • Patient cooperation in follow-up sessions and regular inspection of implants

Symptoms of implant failure in patients with grinding teeth

Implant failure in braces patients can occur gradually or suddenly and depending on the stage of treatment (before or after prosthetics), it has different symptoms. The most important signs are:

  • Feeling of looseness of the implant or cover: One of the most common symptoms is the feeling of instability or abnormal movement of the implant when chewing or touching it.
  • Persistent or throbbing pain: Unlike normal pain after surgery, if the implant fails, the patient may experience severe, long-lasting or throbbing pain in the implant area.
  • Persistent inflammation or swelling of the gums around the implant: The presence of redness, swelling or pus discharge from around the implant can be a sign of infection or inflammatory reaction.
  • Gum retreat or exposure of implant threads: If the bone around the implant erodes due to high pressure, part of the metal base of the implant may be exposed.
  • Creation of unusual sound when chewing: Sometimes patients feel a sound like a click or a crack at the implant site, which can be a sign of a broken screw, loose components or cracking of the coating.
  • Sensation of pressure or discomfort in the jaw joint (TMJ): Especially in patients with severe bruxism, incorrect pressure may cause pain or discomfort in the temporomandibular joint.
  • Premature wear or loosening of the implant cover: In Braxari patients, failure of the implant cover can be one of the first symptoms that indicate excessive pressure.

Read more:

Yes, nightguards or oral splints can reduce the forces caused by grinding by creating a barrier between the upper and lower teeth and prevent damage to the implants.

5. Is occlusion analysis necessary for these patients?

Yes, occlusion analysis is necessary for people with bruxism who intend to receive implants. This check helps identify bite imbalances that may be causing teeth grinding.

6. How can dentists reduce the risks of bruxism for implants?

With careful treatment planning, the use of strengthening techniques such as bone grafting and the use of advanced prosthetic materials can reduce the risk of implant failure. Also, regular follow-ups and careful maintenance are essential.

7. What is implant overload and how is it related to bruxism?

Overloading occurs when the implant is subjected to excessive pressures and becomes damaged or broken. In patients with grinding teeth, continuous and severe pressure caused by teeth wear can aggravate this condition.

8. Is there a possibility of bone loss around the implant due to bruxism?

Yes, the repeated pressures caused by teeth grinding can repeatedly cause dissolution of the jawbone around the implant, which threatens the stability of the implant.

9. Are there any special strengthening techniques for implants in patients with bruxism?

Yes, these techniques can include bone grafting to strengthen the jaw, the strategic use of shorter implants and the use of resistant materials such as zirconia for prosthetics.

10. How often should people with implants and grinding teeth go for a check-up?

These people should go regularly for periodical examinations according to the opinion of the dentist. Visiting intervals are determined based on individual conditions, implant condition, and general oral and dental health.

Approved by:

Dr. Shaghaig Parvizi

Dental clinic Amytis

Amitis Dental Clinic, managed by Dr. Mohammad Parsa and specialized in cosmetic, restorative and implant treatments for more than 15 years, is one of the reputable dental clinics with modern equipment and experienced team in Tehran. This center has provided more than 10,000 successful services to patients, and Amitis Dentistry, in addition to treating domestic patients, has also treated international and foreign patients.

previous post

Next post

Cancel Answer

مقالات دیگر از Dr. Mehsa Ensi

هزینه پر کردن دندان ۱۴۰۴ + تعرفه دقیق انواع پرکردگی | آمیتیس

هزینه پر کردن دندان ۱۴۰۴ + تعرفه دقیق انواع پرکردگی | آمیتیس

هزینه انواع پر کردن دندانهزینه پر کردن دندان با عصب کشیعوامل موثر در قیمت هزینه پر کردن دندان بسته به نوع ماده، تعداد سطوح دندان و میزان آسیب متفاوت است. پرکردگی با آمالگام معمو...

تفاوت ایمپلنت تک مرحله ای و دو‌مرحله ای | مقایسه مراحل

تفاوت ایمپلنت تک مرحله ای و دو‌مرحله ای | مقایسه مراحل

ایمپلنت تک مرحله ایایمپلنت دو مرحله ایمقایسه مراحل درمانمقایسه مزایا / معایبتفاوت مدت زمان درمانبررسی هزینهکدام بهتره؟ ایمپلنت های دندانی به دو روش اصلی انجام می‌شوند: تک‌مرحله...

عصب کشی دندان لمینت شده امکان دارد؟ + نحوه انجام

عصب کشی دندان لمینت شده امکان دارد؟ + نحوه انجام

آیا امکان پذیر است؟مراحل هزینهمزایا / معایب عصب کشی دندان لمینت شده زمانی انجام می‌شود که دندان زیر لمینت دچار پوسیدگی، التهاب یا آسیب عصبی شود. چون لمینت فقط سطح بیرونی دندان ر...

روکش ایمپلنت پیچی یا چسبی؟ +مزایا،معایب و کدام بهتر است؟

روکش ایمپلنت پیچی یا چسبی؟ +مزایا،معایب و کدام بهتر است؟

ایمپلنت با اتصال پیچیمزایا / معایب ایمپلنت پیچیروکش ایمپلنت با اتصال چسبیمزایا / معایب اتصال چسبیکدام بهتره برای انتخاب؟ در مرحله پایانی کاشت ایمپلنت دندان، روکش دندان روی پایه...

علت درد دندان هنگام جویدن و راه درمان آن | آمیتیس

علت درد دندان هنگام جویدن و راه درمان آن | آمیتیس

شایع ترین علتتشخیصراه های کاهش دردعلائم را نادیده نگیرید درد دندان هنگام جویدن یکی از شایع‌ترین نشانه‌هایی است که می تواند خبر از وجود یک مشکل جدی در دندان یا لثه بدهد و نباید ن...

What is the success rate of dental implants in different people? | Amytis

What is the success rate of dental implants in different people? | Amytis

Implant success

Introducing the 10 best clinics and implant centers in East Tehran Amytis

Introducing the 10 best clinics and implant centers in East Tehran Amytis

Korean Biotem implant Price, durability and benefits Amytis

Korean Biotem implant Price, durability and benefits Amytis

What is it?

Dentium implant (Korean) with 98% success Price, benefits, complications

Dentium implant (Korean) with 98% success Price, benefits, complications

Dentium Implant WhatAdvantages / Complicationstypes Dentium fixture

Tooth sensitivity after composite

Tooth sensitivity after composite

Tooth sensitivity after composites and dental treatments is one of the common problems that many patients may face. One of the common methods of repairing damaged or discolored teeth is the use of com...

Reasons for falling dental laminate

Reasons for falling dental laminate

In today's world, the beauty and health of teeth is more important than ever.. One of the most common methods to improve the appearance of teeth and correct minor problems is dental laminates. Dental...

Durability of dental composite

Durability of dental composite

The durability of dental composites depends on various factors, including the quality of materials used, installation techniques and follow-up care. For dental restorations that are placed in areas wi...

Pagedone
Resources
Products
©GCORP LLC 2025, All rights reserved.